교육자료

학회초음파 소식

Ultrasound in the Assessment of Obstetric hemorrhage and Postpartum Uterine Abnormalities

조회수 : 361 게시일 : 2026-02-02
오수영
Ultrasound in the Assessment of Obstetric hemorrhage and Postpartum Uterine Abnormalities성지희 (성균관의대)
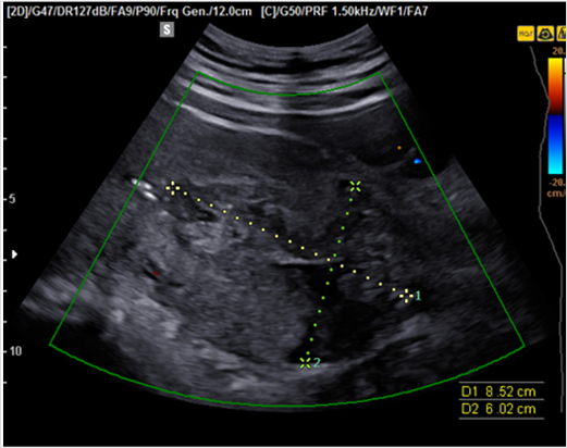
산전 및 산후 출혈의 진단에 있어 초음파의 역할을 매우 중요하다. 대표적인 산전 및 산후 출혈의 원인인 자궁파열, 태반조기박리, 자궁이완증, 잔류태반, 자궁내 동정맥기형의 진단과 치료에 있어서 초음파의 활용에 대해 알아본다.자궁파열자궁파열은 임상적으로 출혈, 복통, 저혈량성 쇼크가 있으면서 이전 자궁수술의 기왕력이 있을 경우 의심할 수 있다. 초음파에서 복강 내 액체처류(free fluid)가 보이거나, 자궁벽의 연속성이 사라지면서 무에코성 또는 저에코성 결손이 있고 그 사이로 혈종이 보일 경우 파열된 부분을 초음파로 확인할 수도 있다.

자궁파열의 위험요인으로는 이전 자궁수술의 기왕력이 가장 대표적이나, 지속적인 자궁수축이 있거나 자궁저부의 압박도 위험용인이 될 수 있으니 유도분만시 주의가 필요하다.

그림1. 자궁파열. 복강내 free fluid가 관찰됨

태반조기박리태반조기박리의 진단에 있어서 초음파의 활용도는 매우 제한적이다. 아주 심한 태반조기박리의 경우 초음파로 태반 후면의 혈종이 확인되나 대부분의 경우 태반 후면의 혈종과 정상태반조직의 감별이 어려워 초음파 단독으로는 진단이 어렵다. 임상적으로 다양한 증상이 있으나 갑자기 발생한 복통, 질출혈, 자궁 압통, 태아심박동 이상이 동반될 경우 태반조기박리를 의심할 수 있다. 위험요인으로 태반조기박리의 과거력, 고령산모, 다태임신, 고혈압, 저출새 체중아 등이 있으므로 임상증상과 병력을 고려한 진단이 필요하다.

그림2. 태반조기박리. 자궁 후면의 혈종이 (화살표) 확인되나, 정상태반조직과의 감별이 어려움.

자궁이완증분만 후 자궁수축이 원활하게 이루어 지지 않아 발생하는데, 자궁이 커져 있고, 질출혈이 있는 것이 특징이다. 초음파에서도 자궁이 늘어나 있고 자궁강내에 저에코성, 일정하지 않은 모양의 덩이가 보이면서 컬러도플러에서 혈류가 관찰되지 않는 혈종이 고여 있는 것으로 진단할 수 있다.

그림3. 자궁이완증. 자궁이 분만후에도 커져 있고 자궁강 내에 저에코성의 일정하지 않은 모양의 혈종이 있으며 컬러도플러에서 혈류가 관찰되지 않음.

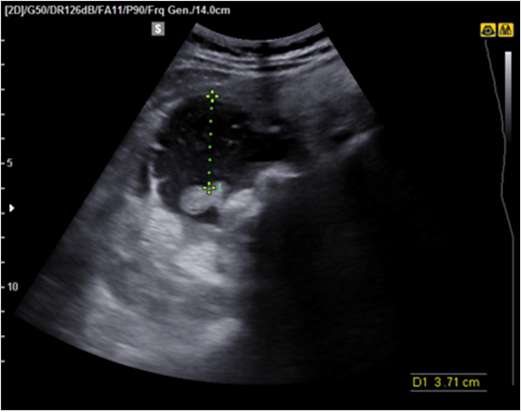
잔류태반초음파에서 자궁강내에 에코성 비균질한 덩이가 관찰되며, 자궁내막이나 자궁근층에 혈류가 증가되어 보이기도 한다.

그림4. 잔류태반. (좌) 자궁강 내에 에코성 덩이가 관찰됨, (우)자궁내막, 자궁근층에 혈류가 증가되어 있음.

자궁 동정맥기형동정맥기형은 매우 드물게 발생하는 질환으로, 주로 자궁의 수술, 시술 이후에 발생하며 분만 후에도 간헐적으로 다량의 질출혈이 발생하는 것이 임상적 특징이다. 초음파에서는 불규칙한 무에코성 조직 또는 비균질하고 구불구불한 모양의 구조물이 자궁근층내에 위치하고 있으면서 도플러에서 난류 혈류(turbulent flow)가 관찰된다.